The Imaneuron neural analysis software source code can be downloaded from here.

It requires a slightly modified version of Kok Lai's GSNAKE API: http://www.rahul.net/pcm/imaneuron/gsnake.tar.gz

It also requires the Qhull library:
ftp://geom.umn.edu/pub/software/qhull.tar.Z (I've tested with Qhull 2.6).

It should run on almost any Unix system.

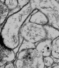
It is designed to be of use in analyzing neural tissue via TEM images such as those at Joe Strout's dendrite page. Here are images showing the output of the cell-membrane identify function:

and an example of the mitochondria indentify function: home